heupvervanging : het kleinst mogelijke gaatje in uw leven
de hele bedoeling is u zo snel mogelijk weer zelf de regie te geven over uw leven
De ingreep bereid ik voor met het lichamelijk onderzoek en de Rontgenfoto.
Met een computerprogram (Traumacad - Brainlab) maak ik een werktekening. Het precieze doel van de ingreep hangt af van het type heup, dwz de vormvariant. Je kunt de heup "nabouwen", maar soms op bepaalde punten aanpassen om de spierwerking te verbeteren . Het computer program kan de verschillende opties simuleren vóór de ingreep. Het draaipunt van de heup wordt gepland, dit is belangrijk voor de beenlengte en optimale werking van de spieren met de nieuwe heup. Ook de maten van de nieuwe heup worden bepaald.



Tijdens de operatie zijn er meerdere anatomische checks die we vergelijken met de werktekening. We gaan om de tensor fascia lata spier heen naar de heup. Het heupkapsel wordt geopend. De versleten heupkop wordt verwijderd en het bot voorbereid voor de nieuwe heup.
Eerst testen we de nieuwe heup in een proefversie op beweeglijkheid, spierspanning en stabiliteit. We testen of de nieuwe heup stabiel in de kom blijft bij alle mogelijke bewegingen. Als deze testen kloppen zoals we gewend zijn krijgen we hiermee de nieuwe heup niet uit de kom. Zo nodig kunnen delen van de nieuwe heup in deze fase nog worden aangepast. Pas als dit allemaal goed is plaatsen we de definitieve nieuwe heup. Deze wordt klemvast gezet in de mergbot van bovenbeen en bekkenkom en is meteen belastbaar.
De voorste benadering in rugligging is het meest geschikt voor het uitvoeren van deze testen. In zijligging zijn deze testen moeilijker en minder betrouwbaar.

We plaatsen 'ongecementeerde' of 'ingroei' heupen. Deze zijn meteen belastbaar voor gewoon lopen. Maar zware belastingen met of vanuit een gebogen heup raden we de eerste 6 - 8 weken na de operatie af. Dit heeft te maken met het 'ingroeien' van de nieuwe heup. Wat zijn zware belastingen met een gebogen heup? Bijvoorbeeld: gaan staan vanuit een diepe stoel met alleen beenkracht, dwz zonder de armen ter gebruiken. Mensen met heup artrose staan eigenlijk altijd op uit een diepe stoel met armkracht als ondersteuning, hou dat patroon dus nog even vast. Andere voorbeelden van zware heupkrachten zijn bv. squatten en lunges, niet doen, de sportschool komt later wel.

NA de ingreep vraagt circa 100% van de patiënten
"En.., was het nodig ?"
Hiermee bedoelen mensen meestal of de heup werkelijk versleten was. Voor mij is dit geen vraag: heupen met weinig of geen artrose vervangen wij niet.
Voor de ingreep bekijken we samen de mate van artrose op de Röntgenfoto. Ik kan met deze plaatjes goed inschatten hoe de heupkop er bij operatie uit zal zien, maar snap dat dit voor de kersverse eigenaar van de nieuwe heup nog een belangrijke vraag kan zijn.
En bij twijfel: Niet opereren. De "was het nodig" vraag is voor de chirurg dus al beantwoord als tot operatie wordt besloten.
Bij twijfel: Niet opereren
Artrose is een functie- en vooral pijnprobleem van de heup. "Doorlopen" met een versleten heup is doorgaans geen probleem, dwz een eventuele latere operatie wordt er niet veel moeilijker door. Behalve als de heup sterk vervormd en echt stug is geworden.
Bij een duidelijk heup artrose is met name de vraag of de pijn in de tijd en in de nachten toeneemt belangrijk voor een gezamenlijke beslissing met de heupchirurg.
one night hip
Na de operatie is er geen botpijn (dwz pijn zoals na een botbreuk), meestal is er een blauwe plek of spierpijn gevoel. Met een ruggenprik (spinaal anesthesie) wordt u sowieso niet met pijn wakker, deze verdoving werkt nog door na de ingreep. Na uitwerken van de ruggenprik werken de beenspieren weer en kunt u op het been staan.
Een urinecatheter (slangetje in de blaas) is niet meer nodig. De blaasinhoud kan met een echo gecontroleerd worden, soms is het nodig de blaas met eenmalig te legen met een catheter.
Tijdens de ingreep krijgt u een stofje dat het bloedverlies ongeveer halveert. Bloedtransfusies en wonddrains (afvoerslangetjes voor bloed) zijn niet meer nodig.
Het litteken zelf is circa 7 - 15 cm lang en wordt in de huid gesloten. Aan de buitenkant zijn geen hechtingen te zien, er hoeven later dus ook geen hechtingen verwijderd te worden.
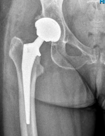
Op de operatiedag, of de ochtend hierna, wordt een Röntgenfoto van de nieuwe heup gemaakt.
Dit Röntgenonderzoek hoeft in de hierop volgende controles op het spreekuur niet meer herhaald te worden, tenzij hier een speciale reden voor is.
Deze integrale aanpak heet "rapid recovery" en maakt dat de opname tot 1 nacht beperkt blijft.
U mag liggen in bed zoals u wilt, dus ook op de zij.
Ik hanteer geen 'regels' meer voor de nabehandeling, ik zie dat mensen als ze hun gezond verstand gebruiken en zelf beslissen het goed doen.
Het enige wat ik aan de patient vraag is de eerste 6 - 8 weken rustig aan te doen. Dit lijkt me sowieso een kwestie van gezond verstand. Maar het heeft ook te maken met het 'ingroeien' van de nieuwe heup in het bot.

lengte - en bikini litteken 6 wk na heup vervanging
de kleur van het litteken is "de klok van de genezing" , als het litteken huidkleur is geworden, is de genezing in de diepte van het kapsel en de spieren ook klaar.
deze genezing duurt totaal 6 - 9 maanden
Ik weet heel goed dat de patiënt tevredenheid tijdens een opname voor het grootste deel wordt bepaald door de zorg op de verpleegafdeling ..
De verpleegafdeling bij Bergman Clinics Rijswijk is heel goed. U heeft een eenpersoonskamer met eigen wc en douche, het eten is goed, de verzorging is top.

Taurus Walker
Het is goed, voor alles, om op de operatiedag al te gaan lopen. 'Voor alles' betekent: goed voor de bloeddoorstroming, goed voor hart en longen, goed voor de darmen en blaas, én goed voor de pijn en het zelfvertrouwen. De nieuwe heup is meteen belastbaar. Natuurlijk helpen we u met de eerste passen.
In de kliniek hebben we een Taurus walker, een soort XL-rollator waarmee de eerste passen geen probleem vormen.
U krijgt spieroefeningen op schrift en de fysiotherapeut komt langs om de oefeningen te bespreken en, zo nodig, traplopen te oefenen.
Wat ook een goeie oefening is voor de spieren: fietsen. Meestal kunnen mensen met een nieuwe heup een dag of vijf na de operatie starten op een hometrainer. Het kan een goed idee zijn een hometrainer te huren (google) voor de eerste paar weken na de operatie.